Checkups
implants
fillings
x-rays
crowns
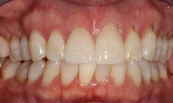
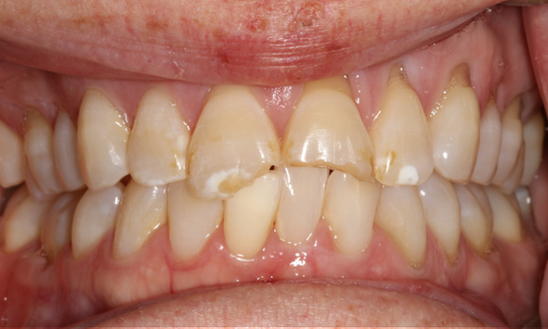
cosmetic
Dr. Jennifer Rohleder
Dr. Jennifer Rohleder is a graduate of the University of Nebraska Medical Center College of Dentistry and has worked in private practice here and in Nebraska. With a passion for both the science and artistry of dentistry, her philosophy is based on the foundation of patient-centered comprehensive care.
Find Out More