Dental Implants at Highland Smiles

If you are missing one or more teeth, you are not alone. According to the American College of Prosthodontists, 178 million people in this country are missing at least one of their teeth.
For the replacement of missing teeth, nothing beats dental implants. If you have one or more missing teeth, there is no time like the present to look into dental implants and find out if they are suitable for you and your situation. You can do this by contacting Dr. Jennifer Rohleder and the team at Highland Smiles.
What Are Dental Implants?
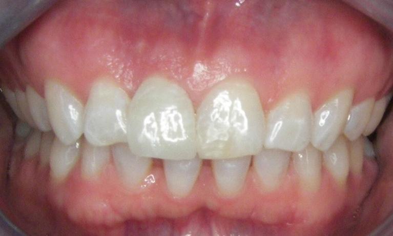
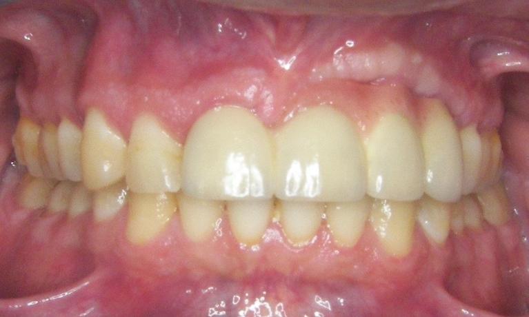
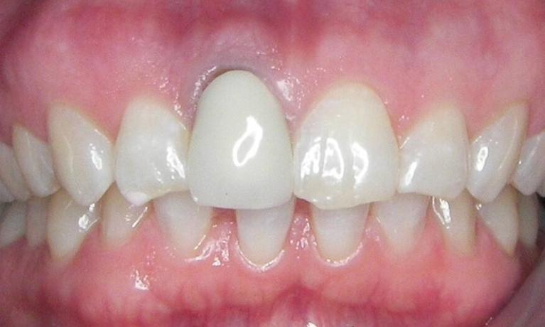
Any dentist can tell you just how important it is to take care of missing teeth as soon as possible. One missing tooth often leads to more missing teeth, and that usually means bigger dental problems down the road. Dental implants are the most natural way to replace one or more missing teeth. Functionality is virtually no different from natural teeth, and esthetically, dental implants are the most realistic-looking tooth replacement option.
Generally made from titanium, dental implants are placed directly into the jawbone to mimic the root of the tooth. Restorations, or crowns, are attached to the tops of the implants. Taking care of dental implants is much like taking care of your natural teeth, with the same flossing and brushing requirements. Although the implants will not decay like your natural teeth, they can wear down so regular cleanings and checkups are important.
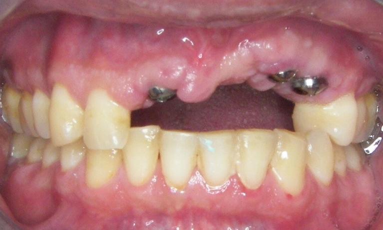
Dental implants can be used to replace a single tooth, multiple teeth, or all your teeth. Regardless of the number of implants needed, the process usually takes place over more than one appointment. The procedure includes consultation with the dentist and treatment planning, the initial exam, a review of your medical and dental history, and a thorough discussion of other treatment options that might be available.
What Makes Dental Implants Better Than Other Treatments?

The fact is, dental implants are the closest you can get to replacing the form and function of your natural teeth. Dental implants allow you to enjoy all the same foods and activities as natural teeth. Another important reason dental implants are so much better than other options when it comes to replacing teeth is that they help prevent “facial collapse.” Most people are not aware of this phenomenon which happens when multiple teeth are missing. Without teeth to stimulate the jawbone, it begins to shrink. Nutrients that had formerly been sent to the jawbone are dispersed elsewhere in the body. Facial collapse results in the face developing a sunken-in, aged look. Even the loss of a single tooth can cause bone loss in that area over time.
How do dental implants prevent this from happening? Once the titanium posts of the implants fuse with your jawbone and restorations are attached, normal chewing resumes, the body continues to send nutrients to the area and the bone levels remain stable.
Learn More about Dental Implants
Find out if dental implants are right for you. Contact Highland Smiles today to make an appointment. Dr. Jennifer Rohleder and the team can discuss your options and how they might fit into your budget.