CEREC Same-Day Crowns at Highland Smiles

A tooth significantly damaged to due fracturing, decay, accident or even restoration failure may trigger the need for a crown. A crown is a full coverage restoration that will restore the effected tooth back to health.
In the past, getting a dental crown meant at least two dentist appointments and wearing a temporary plastic-like crown between visits. Thanks to CEREC technology, however, you can now get a crown in just one visit to the dentist. Call Highland Smiles to get your natural-looking dental crown, made while you wait!
What Is CEREC Technology?
CEREC technology is a method used to restore strength, stability, and function to any tooth that is decayed, broken, fractured, or damaged. This technology utilizes Computer Aided Design (CAD) and Computer Aided Manufacturing (CAM) to accurately and quickly create ceramic restorations chairside in a single appointment rather than over multiple appointments with laboratory work in between. This means the patient does not have to live with a temporary restoration for weeks while the lab creates his or her restoration!
CEREC is actually an acronym of the following words:
Chairside—CEREC includes a milling unit located right in our office, so we can make your crown while you wait.
Economical—The patient spends less time in the dental chair, and there is less time taken away from work and family.
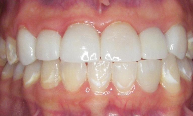
Restoration— Your CEREC same-day dental crown has similar form and function as your natural tooth and esthetically will likely look as natural as your other teeth.
Esthetic—Your CEREC dental crown will look completely natural because there is no metal used. You will be the only one who knows you have a crown!
Ceramic—A strong material, ceramic is very durable in the mouth. Other materials can also be used via CAD/CAM design which are also strong and biocompatible.

The color and shape of each CEREC restoration is customized to each patient so it fits properly in his or her mouth and matches the other teeth esthetically. This technology restores affected teeth with biocompatible material, which exhibits high physical and esthetic qualities.
How Does CEREC Technology Work?
After the proper treatment is determined for the tooth, Dr. Rohleder will administer an anesthetic and prepare the affected tooth for restoration by removing all decayed or failed tooth structure.
Once this process is complete, the medical grade CEREC camera is used to take digital images of the prepared tooth. The pictures take the place of bulky impression trays and impression “goop,” which one would traditionally hold in the mouth until it hardens to create a model of the tooth. No more gagging on uncomfortable trays and “goop” dripping down the throat! Digital imaging is much more time effective and comfortable for the patient.
The images are sent to the CEREC computer, which converts the pictures into a 3-D model of the tooth so a restoration can be designed chairside while the patient waits! After the restoration is designed, it is milled out of the milling machine—like a 3-D printer—from a ceramic block that matches the color of the patient’s other teeth. It is then tested for proper fit on the patient and custom painted for perfect esthetics. Shortly thereafter, the restoration is ready to be bonded to the patient’s tooth. All of this is done in one appointment—no temporary necessary!
Please call Highland Smiles to schedule your appointment for a natural-looking dental crown you can get in just one visit!
With single-visit ceramic restorations, the procedure for getting a dental crown is easier than ever. Called CEREC technology, this procedure takes place all in one visit. First, we will take an optical impression of your tooth using a digital camera. CEREC’s three-dimensional software creates a model of the crown, which we can adjust as needed for a perfect fit. Once finalized, the specifications are sent to the onsite milling unit. A perfect-fitting restoration is ready to be bonded in just about 15 minutes. There are no more worries about ill-fitting temporaries!
If your crown came off:
If you receive a temporary dental crown, you should be sure to avoid sticky and chewy foods such as caramels, chewing gum, or anything that can “pull” at the crown. You can also talk to us about CEREC same-day crowns. We are one of the few dental offices in the Denver area to offer CEREC technology. With CEREC, a decayed, damaged, or broken tooth can be replaced with a strong crown that looks completely natural in just one trip to the dentist!